0

Nachrichten

  15/04/2022 | Frank Verain

 

 
Facebook Twitter Mail Imprimer
Auch verfügbar in:
 



  Frank Verain

 Wir empfehlen Ihnen

  > 0

  > Pocken (MPOX): Start der Impfkampagne auf Réunion

  > 0

  > COPD: Die Bedeutung der Früherkennung!

  > 0

 










   
 

Betrug im Gesundheitswesen: Bis 2025 sollen 723 Millionen Euro aufgedeckt werden.

 NACHRICHTEN 

 

 02/04/2026

Das französische Krankenversicherungssystem verstärkt seine Kontrollen. Laut Zahlen, die Gesundheitsministerin Stéphanie Rist am Mittwoch der Nationalversammlung vorlegte, wurden im Jahr 2025 betrügerische ...

   
   

Impfstoff: Ein Hoffnungsschimmer im Kampf gegen Lyme-Borreliose trotz unzureichender Studie

 NACHRICHTEN 

 

 25/03/2026

Pfizer und Valneva gaben diese Woche bekannt, dass ihr experimenteller Impfstoff gegen Lyme-Borreliose in einer fortgeschrittenen klinischen Studie eine „starke Wirksamkeit“ gezeigt hat, obwohl der ...

   
   

Gesundes Altern wird zur Strategie!

 NACHRICHTEN 

 

 23/03/2026

In Frankreich leben heute fast 42.000 Hundertjährige, weltweit schätzungsweise 700.000. Warum erreichen manche Menschen ein Alter von 100 Jahren oder übertreffen es sogar ohne größere gesundheitliche ...

   
   

Migräne: Was sind die Auslöser?

Sie kennen diesen pochenden Kopfschmerz nur allzu gut, diesen quälenden Schmerz, der stundenlang anhalten kann: eine Migräne. Jeder Migräneanfall äu

   
   

 25/03/2026

Impfstoff: Ein Hoffnungsschimmer im Kampf gegen Lyme-Borreliose trotz unzureichender Studie

Pfizer und Valneva gaben diese Woche bekannt, dass ihr experimenteller Impfstoff gegen Lyme-Borreliose in einer fortgeschrittenen klinischen Studie eine „starke Wirksamkeit“

 

 Ernährung 

  20/03/2026

Nutri-Score: Besser bewertete Produkte, nicht unbedingt teurer!

Eine Studie von Public Health France in Zusammenarbeit mit INRAE stellt die Annahme infrage, dass Produkte mit höheren Nutri-Score-Bewertungen systematisch teurer sind. Die

 

 Nachrichten 

  18/03/2026

Arzttermine in Frankreich: Die Wartezeiten steigen rasant

Laut dem dritten Barometer der Französischen Krankenhausföderation (FHF) dauert es inzwischen dreimal so lange wie 2019, um einen Termin bei einem Allgemeinmediziner zu

 

 Soziales 

  16/03/2026

Die Sicherheit der Covid‑19‑Impfstoffe wurde nach fünf Jahren Überwachung bestätigt

Die französische Nationale Agentur für die Sicherheit von Arzneimitteln und Gesundheitsprodukten (ANSM) hat die Schließung ihrer nationalen Pharmakovigilanz‑Untersuchung

 

 Nachrichten 

  10/03/2026

Lärm, Bildschirme, Hitze: Die Franzosen schlafen viel zu wenig!

 

 Behandlungen 

  07/03/2026

Parkinson-Krankheit: Eine neue Behandlung wurde in Japan zugelassen

 

 Nachrichten 

  04/03/2026

Psychische Gesundheit: Frauen sind zunehmend gefährdet

 

 Behandlungen 

  |  02/03/2026

Angststörungen: Ein 10-tägiges Wellness-Retreat in Saujon für vielbeschäftigte Menschen!

 

 Nachrichten 

  27/02/2026

Hackerangriff auf medizinische Software: Datenleck



   

Contenus sponsorisés


 03/03/2025

Meningitis: eine groß angelegte Impfkampagne im Großraum Rennes

Die regionale Gesundheitsbehörde (ARS) der Bretagne hat nach mehreren Meningitis-Fällen eine großangelegte Impfkampagne für 100.000 junge Menschen im Alter von 15 bis 24

 

 PRÄVENTION 

  04/02/2025

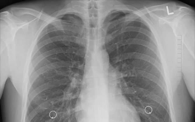
COPD: Die Bedeutung der Früherkennung!

COPD, eine weitgehend unbekannte chronische Atemwegserkrankung, fordert immer mehr Opfer. Die Früherkennung, eine große Herausforderung, stand im Mittelpunkt des 29. Französischsprachigen

 

 PRÄVENTION 

  03/02/2025

Darmkrebs: Die ARC Foundation bricht die Tabus!

Wird Darmkrebs frühzeitig erkannt, ist er in 90 % der Fälle heilbar. Bei Vorliegen von Metastasen liegt die 5-Jahres-Überlebensrate jedoch nur bei 14,3 %. Damit ist Darmkrebs

 

 PRÄVENTION 

  21/01/2025

Augenprobleme: Kümmern Sie sich noch heute um Ihre Augen!

Unsere Augen waren noch nie so überlastet. Erwachsene verbringen durchschnittlich 7 Stunden täglich vor Bildschirmen. Die Allgegenwart von Bildschirmen Diese Überbeanspruchung

 

 PRÄVENTION 

  30/12/2024

Bakterielle Meningitis: Erweiterter Impfschutz ab dem 1. Januar 2025

 

 PRÄVENTION 

  28/10/2024

Prostatakrebs: Innovative Behandlungsmethoden und Diagnostik!

 

 PRÄVENTION 

  16/10/2024

Die Luft in unseren Wohnungen: eine tickende Zeitbombe für unsere Gesundheit!

 

 PRÄVENTION 

  01/10/2024

RSV bei Senioren: Impfung ist unerlässlich!

 

 PRÄVENTION 

  20/09/2024

Herzinsuffizienz: Die richtigen Reflexe haben!





     
     







 
     
     
 
 

NOSSAS RÁDIOS

 

SERVIÇOS

 

TEMÁTICAS

 

FERRAMENTAS

 

Radio Public Santé
Public Santé Seniors
Public Santé Détente
Public Santé Loisirs & Sports
Public Santé Famille
Public Santé Sexo
Public Santé Nutri-Conso
Public Health Radio
Bien-être Animal
Replay News Français
Replay News English
Replay News Espanol
Replay News Italiano
Replay News Portuguès
Replay News Eco
Replay News Sport
Replay News Story

 

FREQUENZEN
WIEDERHÖREN
PROGRAMME
SUCHE
KONTAKT
GESUNDHEITSNACHRICHTEN
WEBRADIOS
SAISONALE KRANKHEITEN

 

SCHÖNHEIT
ERNÄHRUNG
FAMILIE
FREIZEIT
PRÄVENTION
PSYCHOLOGIE
FORSCHUNG
BEHANDLUNGEN
SPORT
VERWALTUNG UND SOZIALES
LITERATUR
SEXOLOGIE
Animal health

 

Feeds RSS
Facebook
X (Twitter)
LinkedIn
Newsletters
DIENSTE
JOURNALISTEN
WERBEKUNDEN
TECHNISCHE ABTEILUNG
PRESSE

 

 
 

Rights of reproduction and distribution reserved © Control Channel 2006-2026
Strictly personal use. The user of the site acknowledges having read the usage rights license,
in accept and respect its provisions.

Mentions légales | Conditions générales d'utilisation | Politique de protection des données personnelles | Politique relative aux cookies